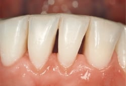
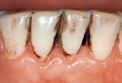
エアフロ―とは?
歯面清掃を行う機械です。細かいパウダー粒子をジェット噴射で歯に吹き付けることにより、歯の着色やバイオフィルム(細菌と細菌が出す物質との集合体)を効果的に除去するものです。

メリット
- 強固なステインを効率よく除去できます。





- 通常のクリーニングでは器具が届かないと歯周ポケットの奥深くまで届くため、より歯周病予防に適していると言えます。
- 高圧洗浄機のように効率的に汚れを除去できるので、通常のクリーニングより短時間で済ませることができます。
- 超微粒子のパウダーを使用するので、歯や詰め物・被せ物などを傷つけずに優しくクリーニングできます。
デメリット
- 自由診療
エアフローは治療目的のクリーニングではありませんので、健康保険は適用できません。 - 痛みを感じる場合もある。
エアフローは痛みの少ないとされておりますが、歯茎や舌にあたるとチクチクすると感じる場合があります。また、知覚過敏の方の場合は痛みを感じる場合があります。 - 歯そのものの色を変えることはできません。
エアフローは付着した汚れを除去することで歯をきれいに見せる効果がありますが、歯の色を変えることはできません。ご希望があればホワイトニングをご案内します。
※エアフローは自由診療となり健康保険は適用されません。